OCT EYE EXAMINATION
What Is OCT?
OCT – Optical Coherence Tomography – is an advanced eye scan for people of all ages. Similar to ultrasound, OCT uses light rather than sound waves to image the different layers that make up the structures at the front and the back of your eye. The OCT machine captures both a photograph and a cross-sectional scan of the eye at the same time.
Using a Topcon state-of-the-art 3D OCT camera, your optometrist will take both a digital photograph and a three dimensional cross sectional scan of the back of your eye in one sitting. This allows both instant and early diagnosis of a number of common ocular conditions. The scan is non-invasive, painless, simple and quick. What’s more, the software can automatically detect even the most subtle changes to the retina with every eye test you have. This gives you an invaluable ongoing record of the health and condition of your eyes.


Age-related macular degeneration
Age-related macular degeneration (AMD) is the leading cause of blindness in the UK. It causes gradual deterioration of the macula (the central portion of your retina whichenables detailed vision).
There are two types of AMD; dry and wet. Wet AMD causes rapid reduction in vision and must be treated in hospital very rapidly. OCT can help to identify the earliest signs of AMD, determine whether it is the dry or wet form and help monitor its progress over time.

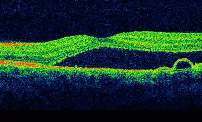
Vitreous detachments
Vitreomacular traction can be easily diagnosed through OCT providing invaluable information about the current relationship between the vitreous and the retinal surface of the eye. As people get older the vitreous jelly that takes up the space in our eyeball can change. It becomes less firm and can move away from the back of the eye towards the centre, in some cases parts do not detach and cause ‘pulling’ of the retinal surface. The danger of a vitreous detachment is that there is no pain and your eyesight will seem unchanged but the back of your eye may be being damaged.

Diabetes
Over 4 million people are now diagnosed with diabetes in the UK, with experts claiming that over half a million people are currently suffering from undiagnosed type 2 diabetes. Diabetic Retinopathy is one of the leading causes of blindness in people of working age within the UK.
OCT examination helps enable early detection of diabetic retinopathy, allowing early referral and management which can greatly improve the success rate of treatment.

Macular holes
A macular hole is a small hole in the macula – the part of the retina which is responsible for our sharp, detailed central vision. This is the vision we use when looking directly at things, when reading, sewing or using a computer for example. Macular holes usually form during a complicated vitreous detachment, when the vitreous pulls away from the back of the eye, causing a hole to form. Management of this condition needs to be carried out by an ophthalmologist in hospital.

Glaucoma
Glaucoma is a condition which causes damage to the optic nerve – the part of the eye which connects to the brain – and causes gradual loss in peripheral vision. Recent statistics suggest that some form of glaucoma affects around two in every 100 people over the age of 40, rising to almost 1 in 10 in people over 75 years. Because the early stages of chronic glaucoma do not cause symptoms, regular eye examinations are essential to pick up glaucoma at its earliest stage so that ongoing damage can be prevented. OCT examination can Wet AMD Neovascularisation in Diabetes Glaucoma measure numerous features at the back of the eye and facilitate early diagnosis of glaucoma. Furthermore, it can enable close monitoring of your eye health year-on year, allowing identification of glaucomatous changes over time.
What does OCT cost?
There may be an additional charge for your OCT scan, but the benefits are obvious, with the scans giving your optometrist more information than ever before on the health of your eyes.
Read our Google reviews from delighted patients and customers below - and why not add your own?
Opening Hours
Monday 9am-5:30pm
Tuesday 9am-5:30pm
Wednesday 9am-5:30pm
Thursday 9am-5:30pm
Friday 9am-5:30pm
Saturday 9am-5pm
Sunday CLOSED
Designer Eyewear
Contact Us
Connect With Us